世田谷 千歳船橋の村田歯科クリニック 審美 ホワイトニング 歯周病 矯正 金属アレルギー インプラントは世田谷 千歳船橋の当医院へ
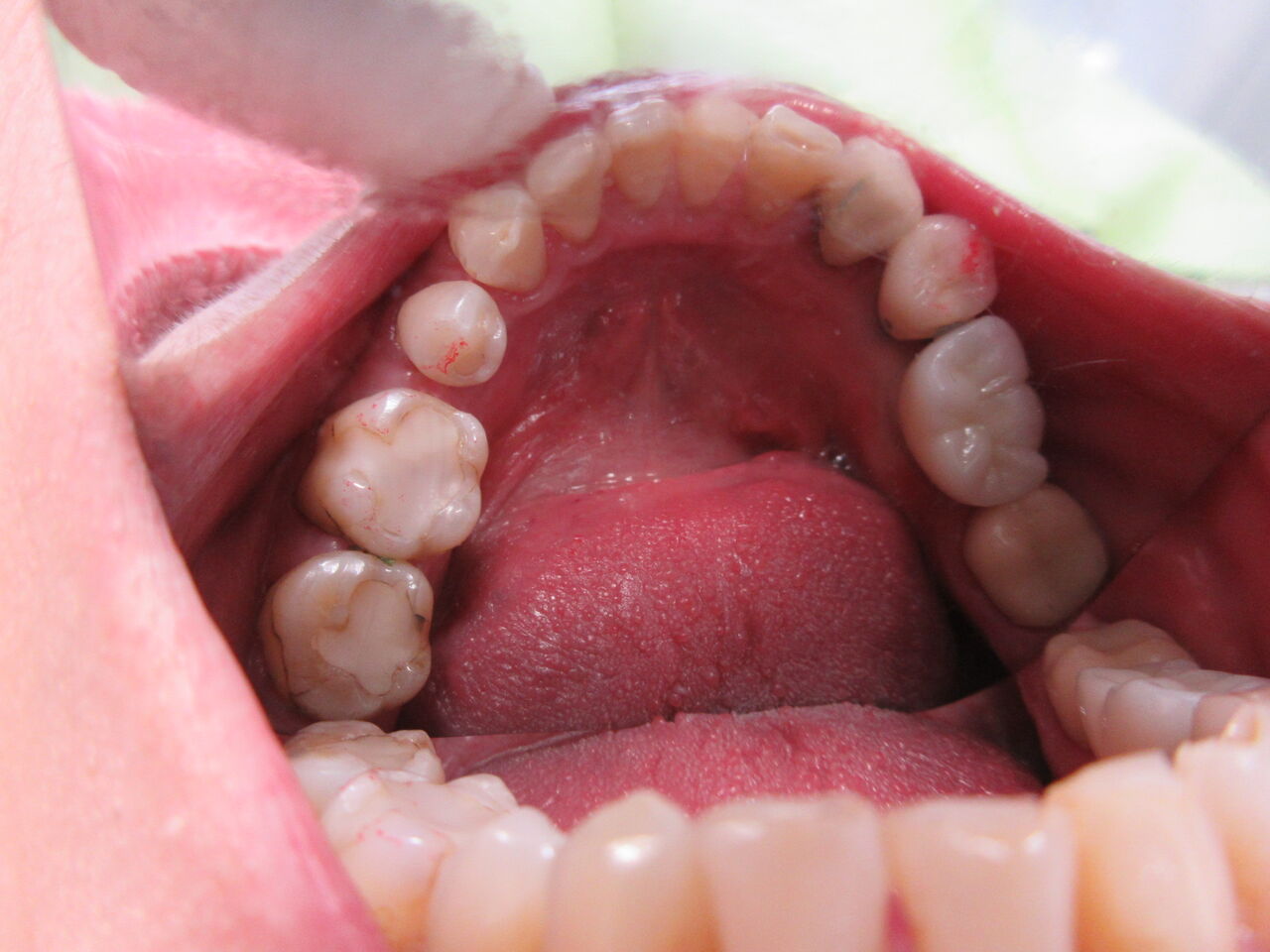
インプラント上部構造
お知らせ
2025.11.21
従業員の方に下顎左側部にインプラント上部構造を装着。
上手くいって良かったです。
世田谷学術講演会
ノンクラスプデンチャー
ホーム
お知らせ
ホーム
検索
トップ
サイドバー
タイトルとURLをコピーしました