世田谷 千歳船橋の村田歯科クリニック 審美 ホワイトニング 歯周病 矯正 金属アレルギー インプラントは世田谷 千歳船橋の当医院へ
ジルコニア
お知らせ
2025.08.07
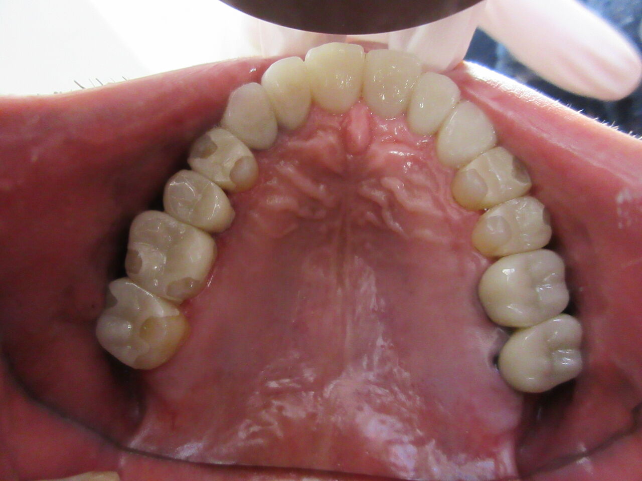
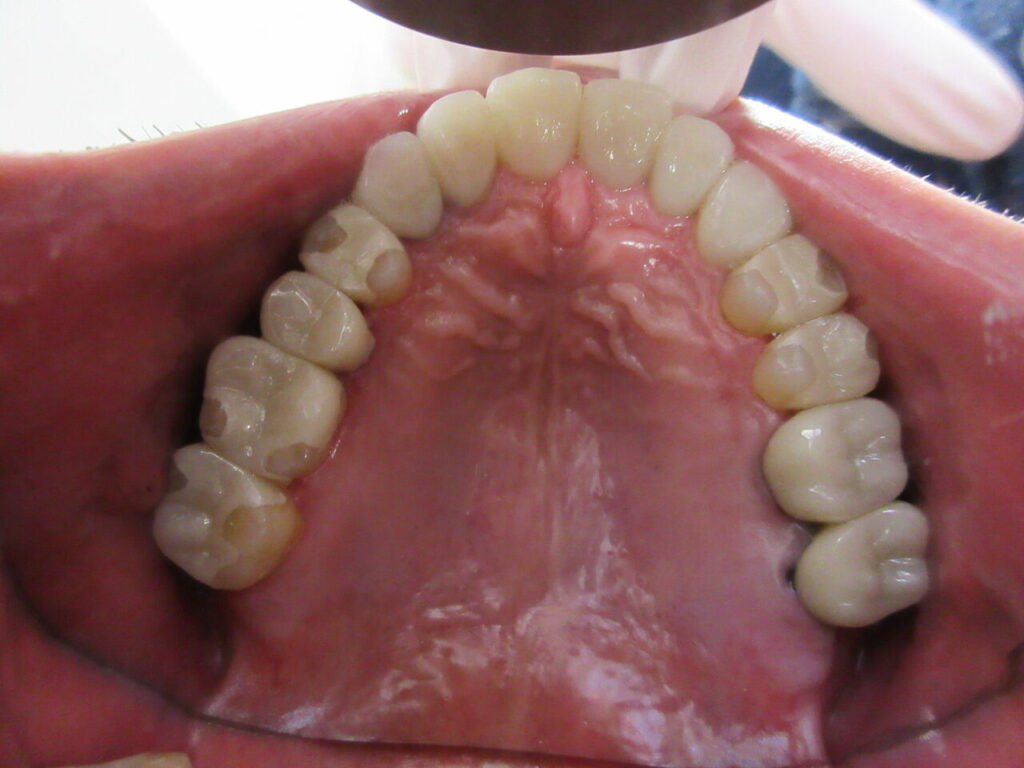
上顎すべての歯がメタルありでしたが、すべてジルコニアに変更しました。
ジルコニア装着
インプラント離脱
ホーム
お知らせ
ホーム
検索
トップ
サイドバー
タイトルとURLをコピーしました