世田谷 千歳船橋の村田歯科クリニック 審美 ホワイトニング 歯周病 矯正 金属アレルギー インプラントは世田谷 千歳船橋の当医院へ
差し歯
お知らせ
2025.11.03
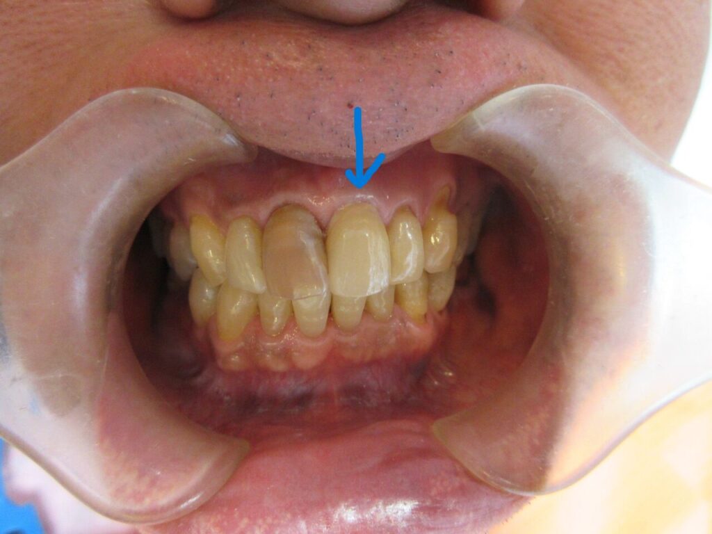
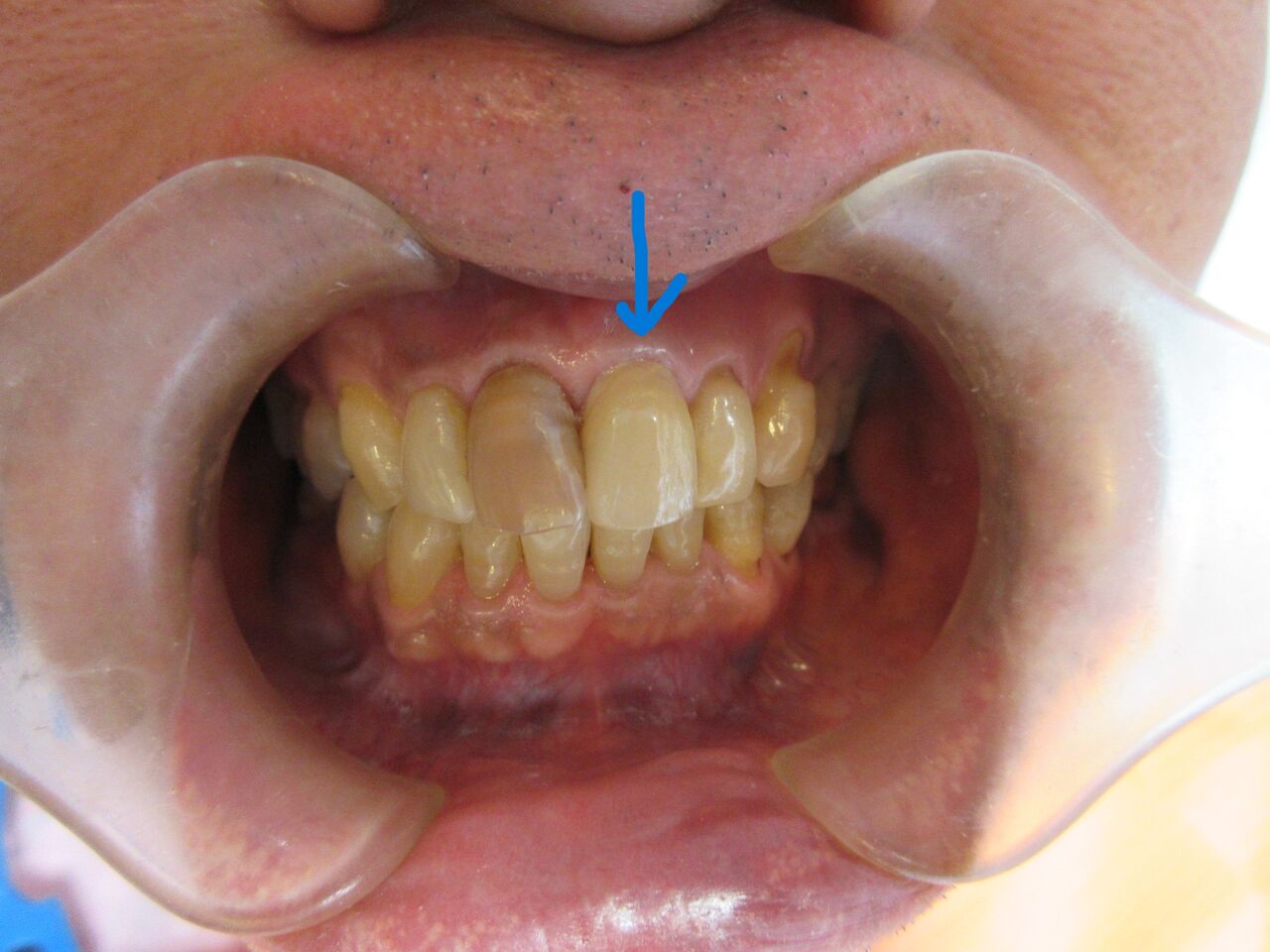
折れてしまった歯をオールセラミックで仕上げました。
反対側はブリーチングで白くする予定です。
前歯の隙間
今日のインプラントオペ
ホーム
お知らせ
ホーム
検索
トップ
サイドバー
タイトルとURLをコピーしました