世田谷 千歳船橋の村田歯科クリニック 審美 ホワイトニング 歯周病 矯正 金属アレルギー インプラントは世田谷 千歳船橋の当医院へ
インプラント上部構造
お知らせ
2025.03.25
2025.03.27
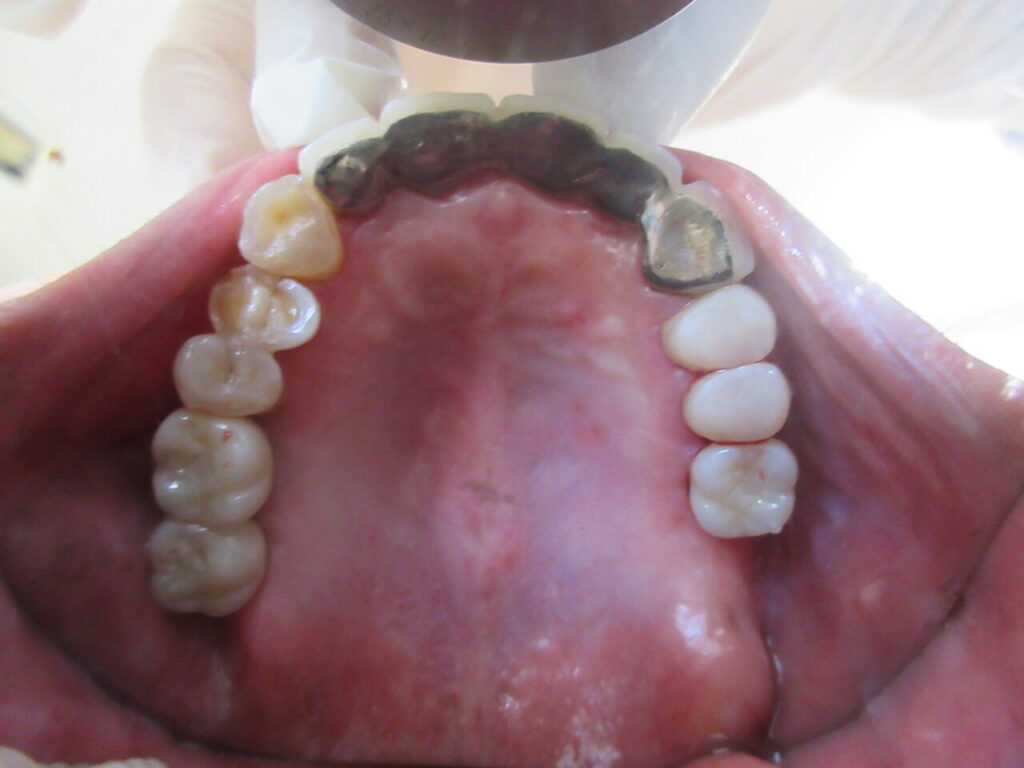
今日は上顎両側のインプラントの上部構造をセット。
夜はテニスでくたくたです。
今日のインプラントオペ
オールセラミック
ホーム
お知らせ
ホーム
検索
トップ
サイドバー
タイトルとURLをコピーしました