2025-10

お知らせ

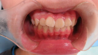
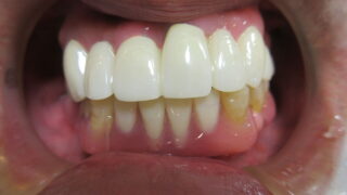
前歯の隙間

従業員からの依頼で前歯の隙間を治すことにしました。数か月で閉じます。
お知らせ

インプラント上部構造

上顎左側第2小臼歯部にインプラント上部構造ジルコニア装着、6番がヘミセクションしているのであまり負担を掛けたくないためインプラント希望でした。
お知らせ

骨隆起

咬合が強い方によくみられるケースです。あまりひどいと切除することもありますが、普通は気にならなければ様子を見ます。
お知らせ

直接法

口腔内でファイバーコアを直接法で製作して、オールセラミック形成、次回装着。
お知らせ

保健所

9時15分から、成城の役所で1歳半検診、半分のお子様は泣きますが可愛いものです。すぐに診療所に戻り、診療開始。毎週毎週、休みなく働いていますが充実していますので良いでしょう。夜は患者様にジルコニアを装着して帰宅。
お知らせ

審美

上顎はジルコニア装着、下顎はノンクラスプデンチャーで審美的な仕上がりを目指しました。
お知らせ

低位舌

何度も何度も説明していますがこのように舌が前に出てしまう癖は早い段階で治さなければなりません。今度舌圧装置を購入して測定できるようになりました。
お知らせ

矯正

この患者様は、それほど歯並びが悪くないのですが正中が合ってなく、中切歯が対象ではないためかなり、見栄えが悪くなります。マウスピース矯正をお勧めしました。
お知らせ

歯根破折

歯根破折により、左上1番を抜歯して左上2番の天然歯は削りたくなかったので元々削っていた被せ物を取って、延長ブリッジの方法で製作。夜は皆でテニス。
お知らせ

ジルコニアブリッジ

従業員にジルコニアブリッジを装着。