上顎前歯部ブリッジ

お知らせ

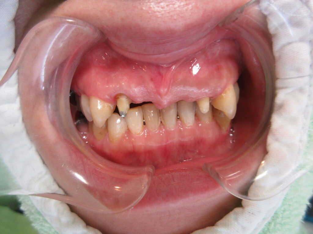
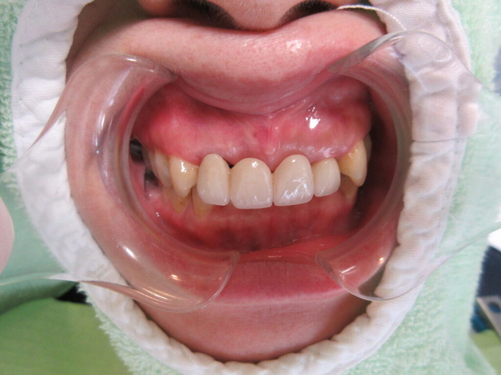
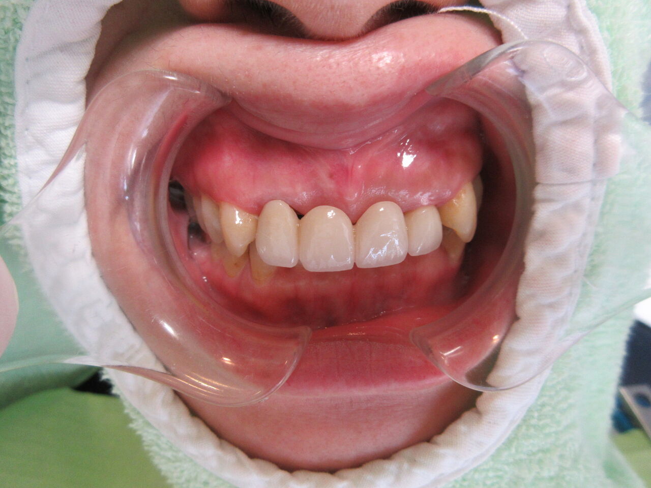
1,1が保存不可能になり、抜歯してブリッジを製作、多少、抜歯部位が甘いため、修正。
最後の患者様は犬歯を抜歯して次回矯正印象。
明日から連休でテニスもないため、早めに帰宅。

タイトルとURLをコピーしました