世田谷 千歳船橋の村田歯科クリニック 審美 ホワイトニング 歯周病 矯正 金属アレルギー インプラントは世田谷 千歳船橋の当医院へ
ノンクラスプデンチャー
お知らせ
2025.08.13
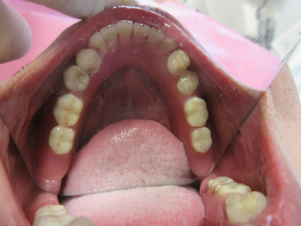
元々片側の義歯でしたが歯を抜歯せざることになり、両側の義歯になりました。
インプラント離脱
ジルコニアブリッジ
ホーム
お知らせ
ホーム
検索
トップ
サイドバー
タイトルとURLをコピーしました