インプラント離脱

お知らせ

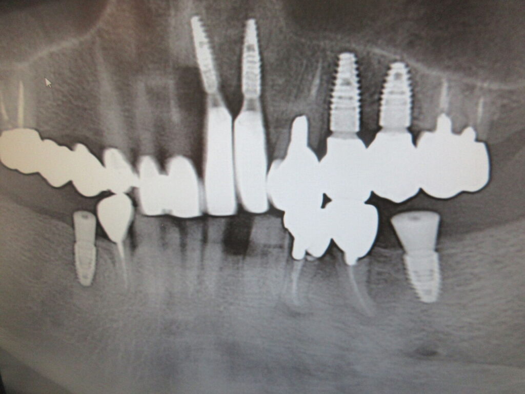
インプラントを埋入するケースはやはり健全な骨が必須です。下顎左側6番の埋入のケースですが手前の5番に大きな病巣があり、本来であれば、抜歯しなければケースでしたがお金も掛けられないということでそのままケースでしたがやはり抜けてしまいました。

タイトルとURLをコピーしました