世田谷 千歳船橋の村田歯科クリニック 審美 ホワイトニング 歯周病 矯正 金属アレルギー インプラントは世田谷 千歳船橋の当医院へ
インプラント上部構造
お知らせ
2025.10.27
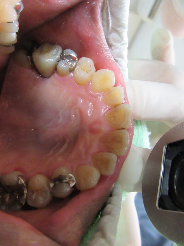
上顎左側第2小臼歯部にインプラント上部構造ジルコニア装着、6番がヘミセクションしているのであまり負担を掛けたくないためインプラント希望でした。
骨隆起
前歯の隙間
ホーム
お知らせ
ホーム
検索
トップ
サイドバー
タイトルとURLをコピーしました