世田谷 千歳船橋の村田歯科クリニック 審美 ホワイトニング 歯周病 矯正 金属アレルギー インプラントは世田谷 千歳船橋の当医院へ
ジルコニア装着
お知らせ
2025.08.04
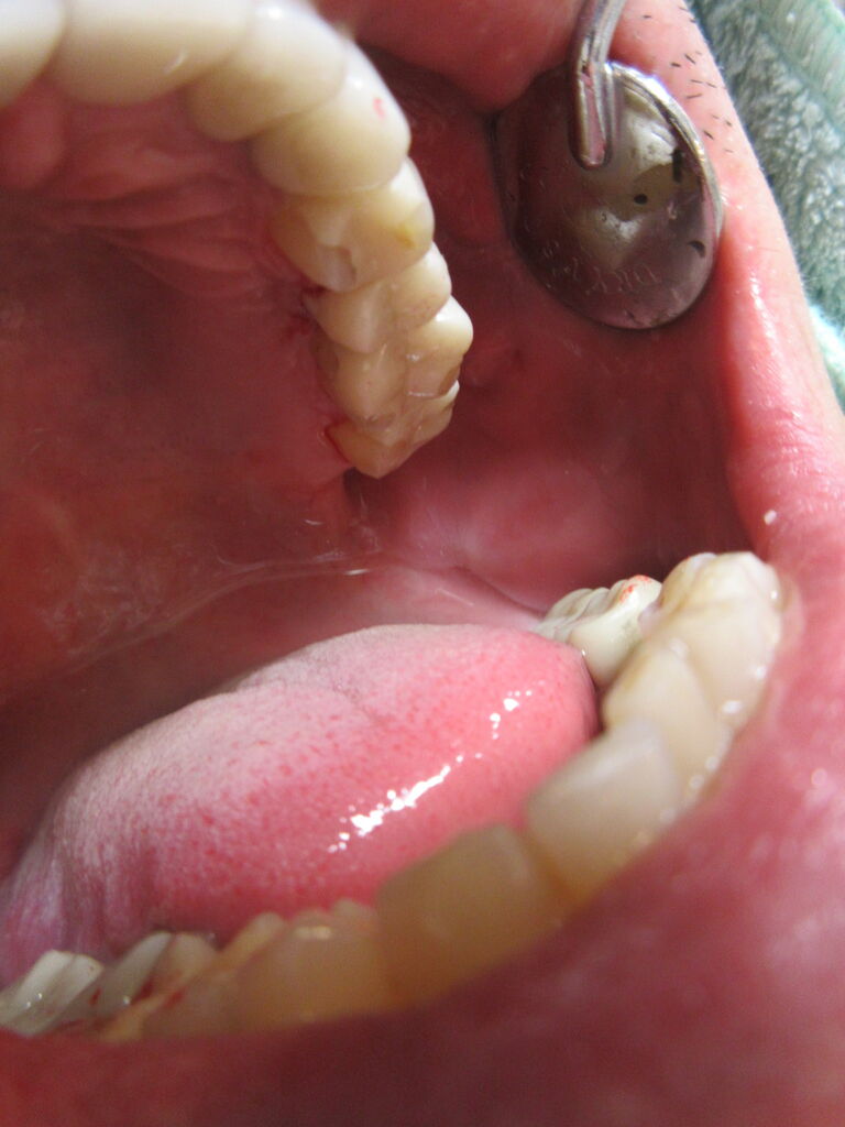
まとめてジルコニア4本装着。これですべて金属が無くなりました。
治療中断
ジルコニア
ホーム
お知らせ
ホーム
検索
トップ
サイドバー
タイトルとURLをコピーしました