世田谷 千歳船橋の村田歯科クリニック 審美 ホワイトニング 歯周病 矯正 金属アレルギー インプラントは世田谷 千歳船橋の当医院へ
今日のインプラントオペ
お知らせ
2025.03.21
2025.03.27
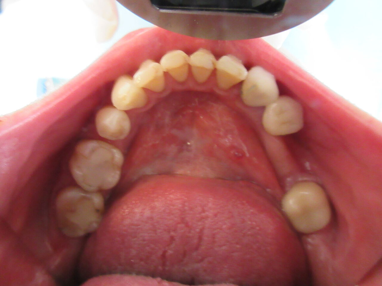
今日のインプラントオペは下顎左側6番のケースです。
初期固定もよいので1回法で仕上げました。
求人募集
インプラント上部構造
ホーム
お知らせ
ホーム
検索
トップ
サイドバー
タイトルとURLをコピーしました