スペース

お知らせ

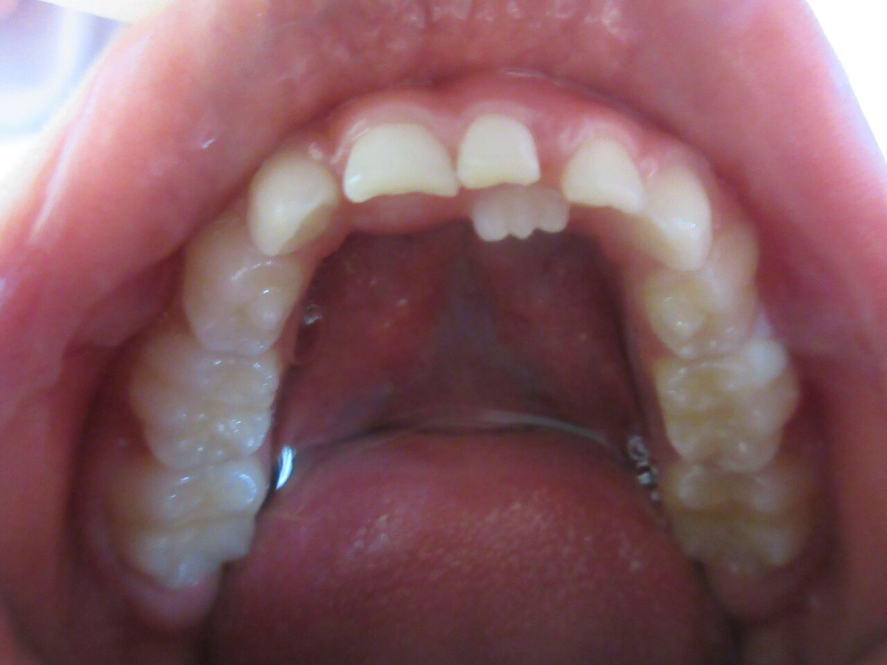
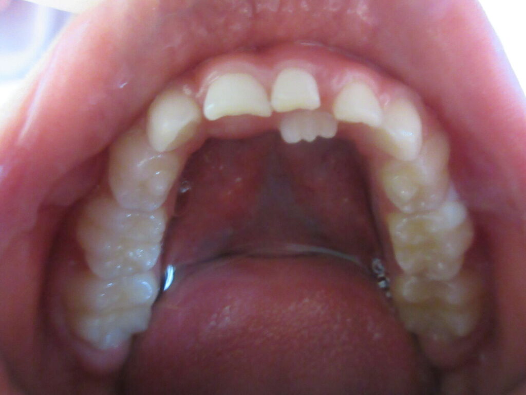
6歳ぐらいから下の前歯から大人の歯に生え変わります。このように大人の歯が内側に生えてくる場合もありますが、スペースがあれば乳歯を抜けば、自然に正常な位置に移動して来ます。

タイトルとURLをコピーしました