世田谷 千歳船橋の村田歯科クリニック 審美 ホワイトニング 歯周病 矯正 金属アレルギー インプラントは世田谷 千歳船橋の当医院へ
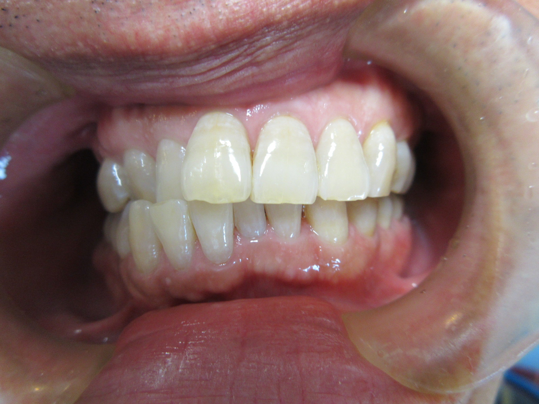
交差咬合
お知らせ
2024.10.14
2025.03.24
お子様が矯正している患者様のお父さんが交差咬合なので説明させて頂きました。
機能障害なので顎関節症など引き起こしやすいです。
昭和大学歯学部同窓会40周年
山本選手
ホーム
お知らせ
ホーム
検索
トップ
サイドバー
タイトルとURLをコピーしました