世田谷 千歳船橋の村田歯科クリニック 審美 ホワイトニング 歯周病 矯正 金属アレルギー インプラントは世田谷 千歳船橋の当医院へ
ノンクラスプデンチャー
お知らせ
2024.11.02
2025.03.24
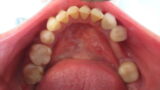
初診で来院されましたが会議の為早急に製作して下さいと言われて、1週間ちょっと仕上げました。
インプラント印象
感染根管
ホーム
お知らせ
ホーム
検索
トップ
サイドバー
タイトルとURLをコピーしました