世田谷 千歳船橋の村田歯科クリニック 審美 ホワイトニング 歯周病 矯正 金属アレルギー インプラントは世田谷 千歳船橋の当医院へ
矯正
お知らせ
2025.08.25
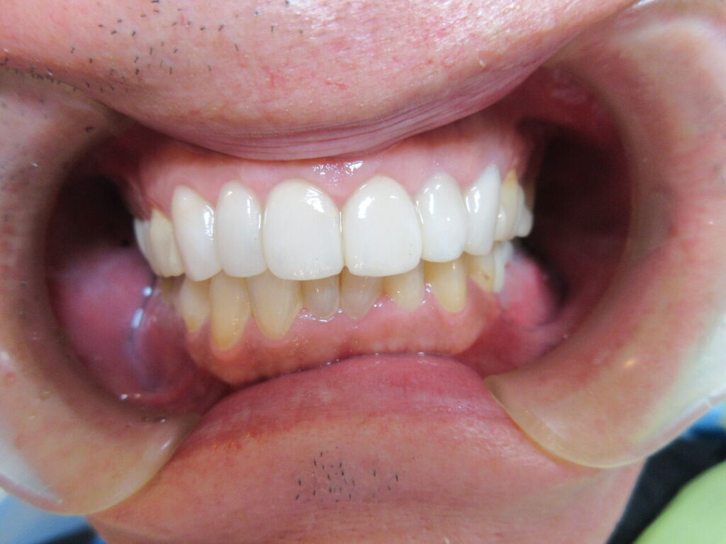
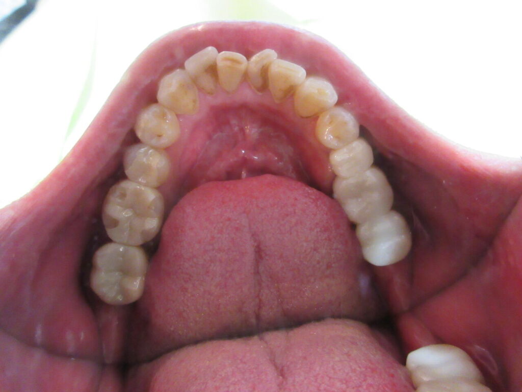
上顎と下顎の金属をジルコニアに変更して次回から下顎の前歯を矯正で綺麗にします。
ジルコニア
ジルコニアブリッジ
ホーム
お知らせ
ホーム
検索
トップ
サイドバー
タイトルとURLをコピーしました