世田谷 千歳船橋の村田歯科クリニック 審美 ホワイトニング 歯周病 矯正 金属アレルギー インプラントは世田谷 千歳船橋の当医院へ
審美
お知らせ
2025.10.09
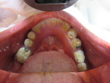
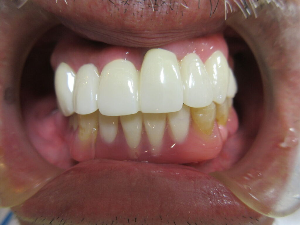
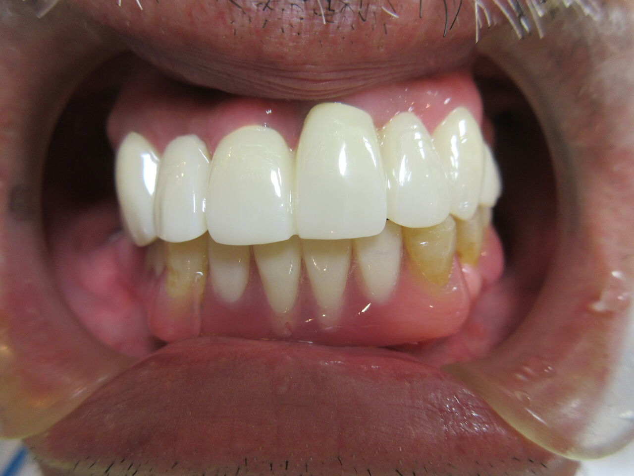
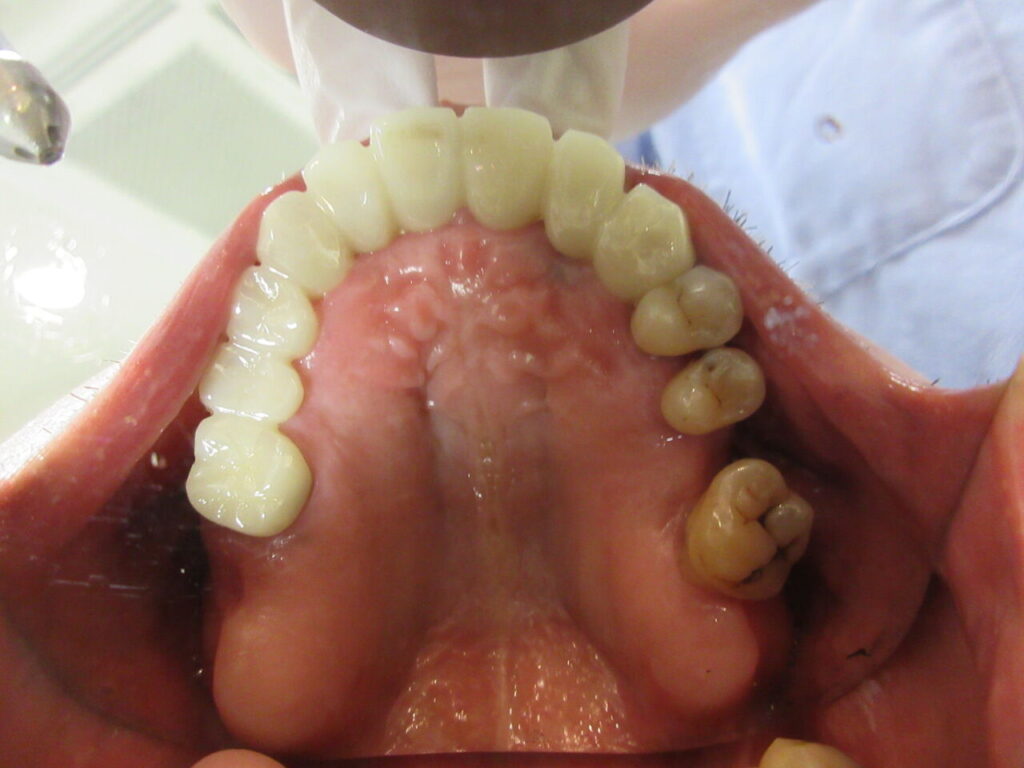
上顎はジルコニア装着、下顎はノンクラスプデンチャーで審美的な仕上がりを目指しました。
低位舌
保健所
ホーム
お知らせ
ホーム
検索
トップ
サイドバー
タイトルとURLをコピーしました