乳歯

お知らせ

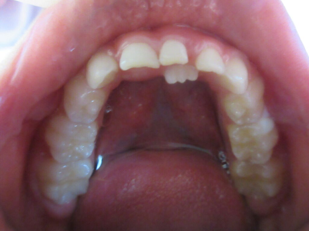
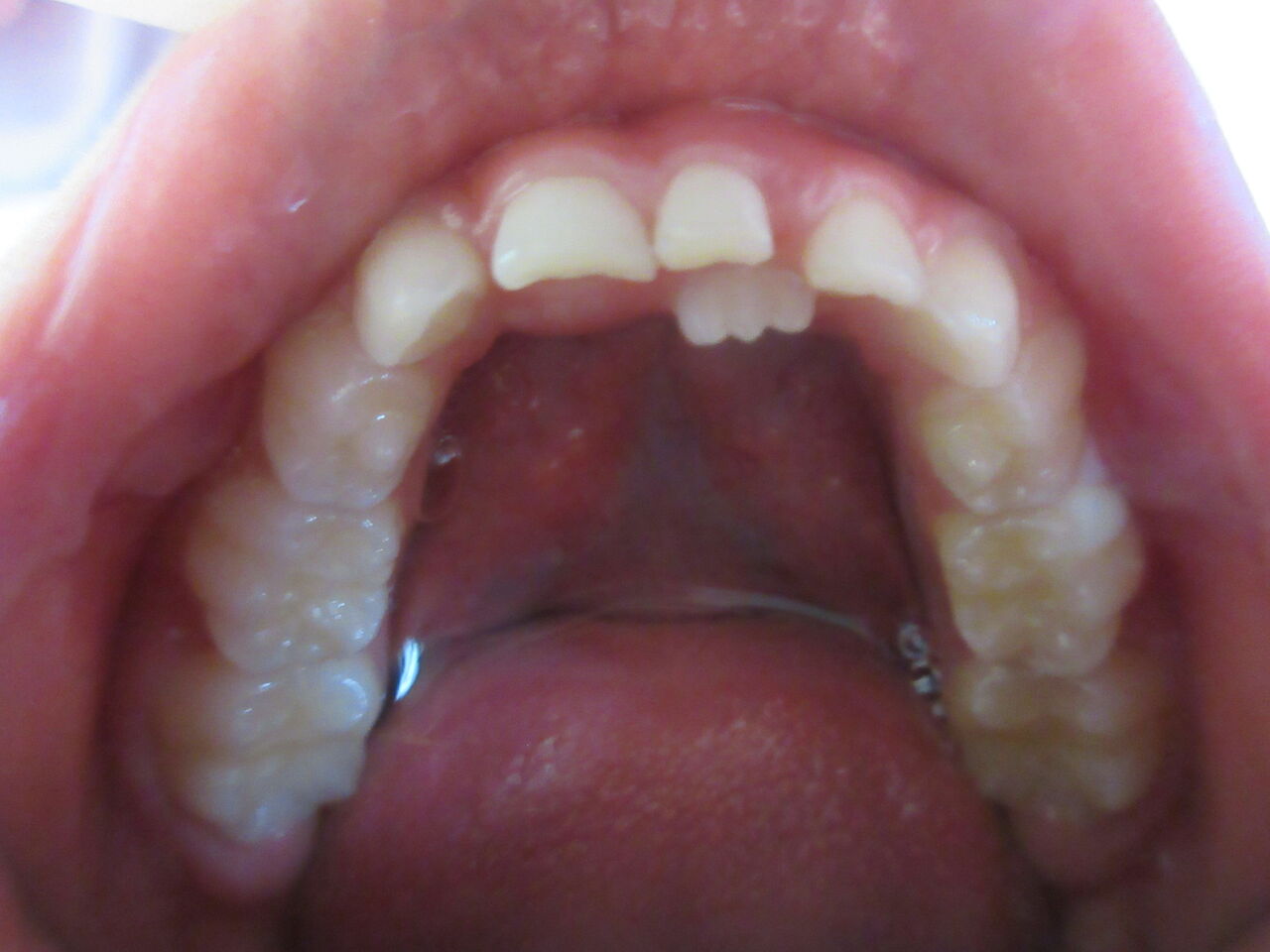
乳歯が抜けないうちに大人の歯が生えてきたと来院されました。
このようなケースは乳歯を抜歯すれば自然と永久歯が前に出て来ますが、スペースがない場合、前に出て来ませんので床矯正でスペースを作ればいいと思います。

タイトルとURLをコピーしました