世田谷 千歳船橋の村田歯科クリニック 審美 ホワイトニング 歯周病 矯正 金属アレルギー インプラントは世田谷 千歳船橋の当医院へ
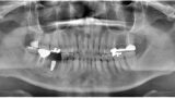
メタルボンドブリッジ
お知らせ
2025.04.18
最近はメタルボンド(内面が金属)が少なくなりましたが、以前の自費治療はメインでした。
このようなブリッジを装着。
ノンクラスプデンチャーと軟性義歯
CT解析
ホーム
お知らせ
ホーム
検索
トップ
サイドバー
タイトルとURLをコピーしました