世田谷 千歳船橋の村田歯科クリニック 審美 ホワイトニング 歯周病 矯正 金属アレルギー インプラントは世田谷 千歳船橋の当医院へ
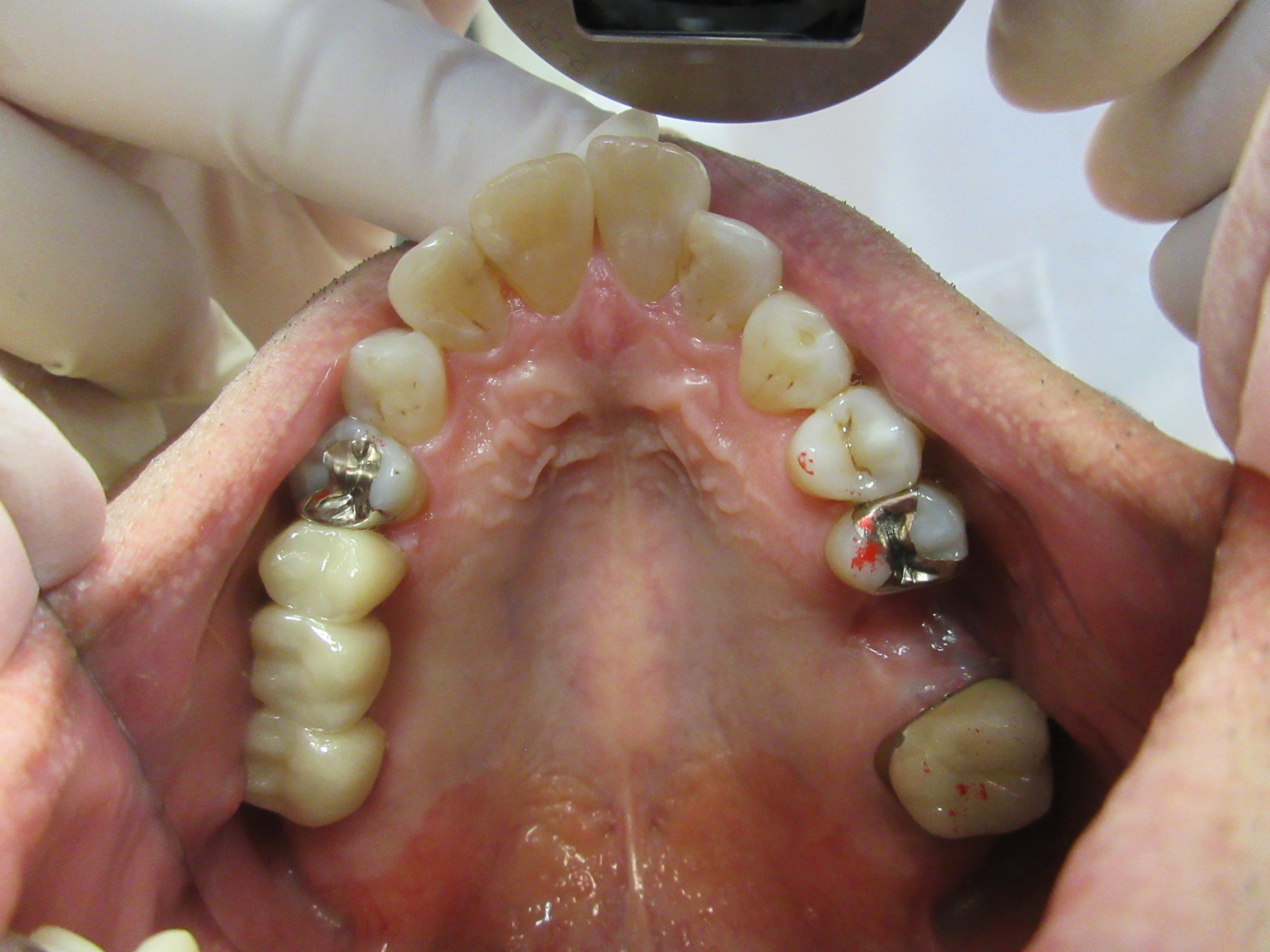
ジルコニアブリッジ
お知らせ
2024.12.08
2025.03.24
ベレーザやダイヤモンドレッズの監督を務めたMさんが7年ぶりに来院されジルコニアブリッジを装着、満足いく仕上がりです。
床矯正
ホーム
お知らせ
ホーム
検索
トップ
サイドバー
タイトルとURLをコピーしました